La colocación de una sonda nasogástrica (NG) es un procedimiento común en el que se inserta una sonda flexible a través de la nariz hasta el estómago . Se realiza para muchas indicaciones, que incluyen íleo , sangrado gástrico , obstrucción intestinal y alimentación enteral . Existen múltiples tipos de sondas NG y el tamaño apropiado varía según la edad. Antes de la inserción, se deben tomar medidas para aliviar la incomodidad del paciente y garantizar que se use la longitud correcta de sonda. La colocación correcta de la sonda NG se puede confirmar en la cama del paciente mediante auscultación y aspiración y/o mediante confirmación radiográfica. Las complicaciones incluyen lesión iatrogénica (p. ej., perforación esofágica , perforación bronquial, neumotórax ), epistaxis y sangrado gástrico .
Indicaciones
- Afecciones que requieren descompresión gastrointestinal, por ejemplo:
- Obstrucción intestinal o íleo con distensión significativa, náuseas y/o vómitos persistentes
- Perforación de víscera hueca
- Mayor riesgo de aspiración en pacientes intubados
- Sospecha de sangrado gastrointestinal superior
- Afecciones que requieren nutrición enteral a corto plazo y/o administración de medicamentos
- Afecciones que requieren lavado gástrico (por ejemplo, intoxicación )
Contraindicaciones
- Absoluto
- Traumatismo facial y/o fractura de la base del cráneo
- Estenosis esofágica
- Ingestión alcalina
- Relativo
- Coagulopatía
- Cirugía gástrica previa (por ejemplo, bypass gástrico )
- Cirugía nasal reciente
Antecedentes técnicos
Tipos de sonda nasogástrica
- Tubo de Levin
- Lumen único con múltiples orificios en el extremo distal
- No debe utilizarse con succión continua
- Tubo de sumidero de Salem
- Tubo de doble lumen: El segundo lumen ventila el aire y evita el vacío excesivo, protegiendo la mucosa gástrica .
- Adecuado para drenaje a largo plazo y/o succión continua.
- Tubo Dobhoff
- Tubo flexible y estrecho con punta con peso, que se inserta mediante un estilete.
- Se utiliza para proporcionar nutrición enteral ; no se puede utilizar con succión.
Dimensionamiento de la sonda nasogástrica
- Adultos : 16–18 años
- Neonatos : 5–8 F dependiendo del peso.
- Niños
- Calculado mediante la fórmula: edad/2 + 8
- Los tamaños típicos varían desde 8 Fr para bebés hasta 14 Fr para niños mayores.
Lista de verificación del equipo


Puntos de referencia y posicionamiento
- Posición del paciente : erguido, con el cuello ligeramente flexionado y la cabeza inclinada hacia abajo (si está alerta)
- Longitud de inserción en adultos
- Distancia desde el proceso xifoides hasta el lóbulo de la oreja, luego hasta la punta de la nariz
- Añade 15 cm ( 6 pulgadas ).
- Duración de la inserción en niños : varía según la edad y el peso.

Preparación
- Obtener el consentimiento informado .
- Proporcionar una palangana para vómitos al paciente.
- Mida la longitud adecuada de inserción.
- Evalúe las fosas nasales para detectar obstrucciones y seleccione la fosa nasal más permeable.
- Administrar un vasoconstrictor tópico (p. ej., oximetazolina)
- Anestesiar las fosas nasales, la nasofaringe y la orofaringe con anestesia local (p. ej., lidocaína nebulizada , benzocaína , gel de lidocaína ).
- Lubrique el extremo del tubo NG.
- Deje pasar el tiempo necesario para que la anestesia local haga efecto.
- Póngase el EPP .
Asegúrese de que la anestesia sea adecuada, ya que simplemente lubricar el tubo con lidocaína viscosa no proporcionará suficiente alivio del dolor
Técnica/pasos
- Inserte y haga avanzar el tubo dentro de la fosa nasal a lo largo del piso de la cavidad nasal; evite inclinarlo hacia arriba o lateralmente.
- Pídale al paciente que trague mientras el tubo ingresa en la orofaringe .
- Haga avanzar el tubo dentro del estómago hasta alcanzar la profundidad predeterminada.
- Confirme la colocación de la sonda nasogástrica mediante una de las siguientes opciones:
- Auscultar el estómago mientras se insufla aire a través de la sonda nasogástrica y escuchar si hay una ráfaga de aire confirmatoria.
- Aspiración del contenido gástrico
- Obtención de una radiografía de tórax y/o abdomen
- Asegure el tubo con cinta adhesiva o un soporte comercial.
- Conecte el tubo a la succión o coloque una tapa en el tubo.

Retire la sonda nasogástrica inmediatamente si hay una resistencia significativa al avance, dificultad respiratoria, hemorragia nasal significativa o si el paciente pierde la capacidad de hablar.
Se espera que se presenten arcadas durante la inserción de la sonda nasogástrica y no es una indicación inmediata para interrumpir el procedimiento. Utilice su criterio clínico.
Errores y solución de problemas
- Enrollado de tubos
- Considere utilizar una sonda nasogástrica más grande.
- Enfríe la sonda nasogástrica justo antes de colocarla.
- Resistencia después de avanzar más allá de la orofaringe
- Paciente que tiene dificultad para tolerar el procedimiento
- Considere la terapia antiemética , por ejemplo, ondansetrón ( fuera de etiqueta ), 5 minutos antes del procedimiento.
- Asegúrese de que se proporcione la anestesia adecuada y que la sonda nasogástrica esté lubricada.
- Pídale al paciente que beba y trague agua con una pajita mientras avanza la sonda nasogástrica.
- Haga avanzar el tubo rápidamente una vez que entre en el esófago .
- Paciente intubado o obnubilado
- Desinfle el balón del tubo endotraqueal antes de insertar la sonda nasogástrica.
- Inserte una vía aérea nasofaríngea suave y lubricada en la fosa nasal.
- Considere utilizar los dedos para guiar la sonda nasogástrica hacia la faringe .
- Si la inserción del tubo sigue siendo difícil, utilice visualización directa (por ejemplo, laringoscopio o endoscopio).
Lista de verificación posprocedimiento

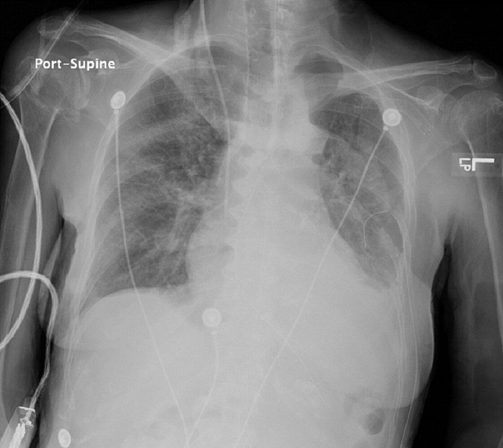
Obtenga una radiografía de tórax y/o abdomen para confirmar la colocación antes de administrar medicamentos o nutrición.
En la radiografía de tórax , una sonda nasogástrica colocada correctamente cruzará el diafragma en la línea media y terminará debajo del hemidiafragma izquierdo.

Complicaciones
- Complicaciones durante la colocación
- Lesión iatrogénica por mala colocación
- Colocación pulmonar
- Colocación intracraneal
- Epistaxis
- Perforación esofágica
- Lesión iatrogénica por mala colocación
- Complicaciones de las sondas nasogástricas permanentes
Descubre más desde Medicina Cardiometabólica
Suscríbete y recibe las últimas entradas en tu correo electrónico.