Venas abdominales dilatadas por síndrome de Budd-Chiari y obstrucción de vena cava

El 16 de octubre de 2015, una mujer de 55 años se presentó en la clínica de hígado con ictericia,  malestar abdominal progresivo y venas superficiales agrandadas en su abdomen. Tenía antecedentes de sarcoidosis hepática, diagnosticada 6 años antes. El examen clínico reveló ictericia, hepatomegalia masiva, esplenomegalia moderada y venas superficiales dilatadas, tanto por encima como por debajo del ombligo.
La investigación adicional con ecografía abdominal y tomografías computarizadas del hígado reveló el síndrome de Budd-Chiari, además del trombo de la vena cava inferior. La oclusión de la vena cava inferior produce colaterales a lo largo de la pared abdominal desde las venas epigástricas inferiores y epigástricas superficiales debajo del ombligo, que drenan hacia una vena paraumbilical recanalizada. Nuestro paciente tenía venas abdominales superficiales grandes y dilatadas, tanto por encima como por debajo del ombligo (figura, A).
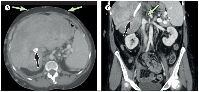
Se insertó una derivación portosistémica intrahepática transyugular (TIPS) proximal al trombo desde la porción hepática de la vena cava inferior hasta la vena porta principal, y el paciente comenzó la anticoagulación con warfarina. La tomografía computarizada repetida reveló el TIPS, venas prominentes de la pared abdominal (figura, B) y una vena hepática ocluida y vena cava inferior (figura, C).
(B) TC axial que muestra la derivación portosistémica intrahepática transyugular (flecha negra) y venas colaterales abdominales agrandadas (flechas de color verde pálido).
(C) Tomografía computarizada coronal que muestra la vena hepática ocluida (flecha negra) y la vena cava inferior (flecha verde pálida).

El paciente se sometió a pruebas extensivas de trombofilia, incluidas las pruebas de mutación JAK2, anticoagulante lúpico, anticuerpos anti-cardiolipina, anticuerpos anti-glicoproteína β2, concentraciones de proteína C y S, hemoglobinuria paroxística nocturna y factor V de Leiden. Todos los resultados de las pruebas fueron normales, y por tanto el síndrome de BuddChiari como la oclusión de la vena cava inferior se atribuyeron a la trombofilia asociada con la sarcoidosis hepática. TIPS logró reducir la hipertensión portal del paciente, como lo demuestra la bilirrubina mejorada (de 155 µmol / L antes del procedimienti a 24 µmol / L después del procedimiento) y el tamaño reducido de los vasos colaterales peri-portales en las imágenes subsiguientes. Posteriormente, el paciente desarrolló múltiples oclusiones TIPS, una de las cuales se produjo en el contexto de un cociente normalizado internacional terapéutico asociado con un empeoramiento de las complicaciones de la cirrosis. El paciente ha sido sometido con éxito a trasplante ortotópico de hígado.

Descubre más desde Medicina Cardiometabólica

Suscríbete y recibe las últimas entradas en tu correo electrónico.

Deja un comentario